‹ › ×
    Accueil
    • Clinique
      • Visite
      • Accès
      • Contact
    • Services
      • Alimentation
      • Cardiologie
      • Chronovet: vente en ligne
      • Consultations générales
      • Fibroscopie
      • Hospitalisation
      • Imagerie
      • Laboratoire
      • Physiothérapie et rééducation: IMOOVE
      • chirurgies
      • Equipements et compétences
      • Les chirurgies cutanées
      • Les chirurgies des oreilles
      • Les chirurgies cardio-repiratoires
      • Les chirurgies digestives
      • Les chirurgies des voies urinaires
      • Chirurgies de convenance
      • Les chirurgies vasculaires
      • Infos santé
      • Atteintes respiratoires hautes
      • Nettoyage des oreilles
      • Hygiène buccale
    • Vétérinaires

    Les chirurgies cardio-respiratoires

    Rhinoplastie et palatoplastie: 

     

    La palatoplastie est plus généralement appelée chirurgie du voile du palais .... Elle concerne principalement les molossoïdes:  bouledogues, les carlins ..

    Cette chirurgie consiste à raccourcir la longueur du voile du palais qui obstrue l'orifice du larynx. Mais au préalable un examen de la gorge est réalisé pour determiner toutes les causes éventuelles qui peuvent gêner la respiration Le voile du palais n'est pas toujours le seul coupable... 

    La rhinoplastie est une chirurgie qui consiste à élargir les orifices nasaux ... 

    Sténose des narines
    Rhinoplastie de la narine droite
    rhinoplastie bilatérale
    Rhinoplastie, 10 jours post-chirurgical
    Exploration gorge: Elongation du voile
    Voile du palais après chirurgie
    Sténose des narines sur un persan
    Persan après une rhinoplastie correctrice

    Syndrome obstructif des voies respiratoires supérieures: Bruits inspiratoires, gonflement des joues à l'expiration, étirement des lèvres à l'inspiration.

    Exploration de la gorge: élongation du voile du palais qui recouvre l'entrée du larynx. Il faut aussi observer la forme et la mobilité des cartilages aryténoïdiens, évaluer la taille des amygdales et la gêne occasionnée par les diverticules laryngés s'ils sont présents.  

    Respiration après une chirurgie du voile du palais. Des bruits respiratoires peuvent persister mais l'animal n'a plus de difficultés à respirer.

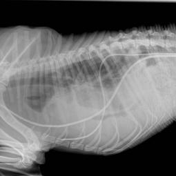
    Les chirurgies thoraciques: 

    Ces interventions sont plus delicates que les chirurgies abdominales, une assistance respiratoire est obligatoire. Les principales interventions sont: les lobectomies pulmonaires, les pericardectomies, la ligature du canal arteriel persistant, l'exerese de masses mediastinales ...

    Vet'Ouest

    Copyright VetOuest - Tous droits réservés - Mentions Légales - Contact

    Crédits photos : L.SAFFROY

    LAXOU 54520 - 6, rue Sidney Bechet