‹ › ×
    Accueil
    • Clinique
      • Visite
      • Accès
      • Contact
    • Services
      • Alimentation
      • Cardiologie
      • Chronovet: vente en ligne
      • Consultations générales
      • Fibroscopie
      • Hospitalisation
      • Imagerie
      • Laboratoire
      • Physiothérapie et rééducation: IMOOVE
      • chirurgies
      • Equipements et compétences
      • Les chirurgies cutanées
      • Les chirurgies des oreilles
      • Les chirurgies cardio-repiratoires
      • Les chirurgies digestives
      • Les chirurgies des voies urinaires
      • Chirurgies de convenance
      • Les chirurgies vasculaires
      • Infos santé
      • Atteintes respiratoires hautes
      • Nettoyage des oreilles
      • Hygiène buccale
    • Vétérinaires

    Les chirurgies des oreilles

    L'otectomie therapeutique:

     

    Il s'agit de l'exerese du pavillon de l'oreille, cette chirurgie est réalisée principalement chez les chats blancs: les coups de soleil à répetition favorise le developpement d'un carcinome épidermoïdes (tumeur), la solution la plus simple est l'exerese, la meilleur prévention est la crème écran totale en période estivale...

     

    Tumeur du pavillon auriculaire gauche
    Après chirurgie

    L'abaissement du conduit auditif (opération de Zepp): 

     

    Cette chirurgie consiste à ouvrir le conduit auditif sur toute sa partie Verticale. Elle est indiquée chez les chiens qui présentent des otites chroniques sténosantes et/bacteriennes non guerissables. Elle impressionne sur les jours qui suivent l'intervention mais avec la repousse du poil, tout redevient normal...

     

    Oreille avant chirurgie
    Oreille après chirurgie
    Oreille 2 mois après chirurgie

    L'ablation du conduit auditif: 

     

     

    Cette chirurgie consiste à enlever l'integralité du conduit auditif, le pavillon auriculaire est maintenu en place. Les conséquences sont discrètes mais l'animal ne peut plus jamais entendre. Elle est indiquée chez les chiens (très souvent les Bouledogues) qui présentent des otites sténosantes sur toute la longueur du conduit auditif.

    Otite chronique sténosante
    Ablation du conduit auf-ditif

    La chirurgie de l'othématome: 

     

    L'othématome est un hematome au niveau du pavillon de l'oreille. Il fait suite à un choc ou du grattage, il s'accompagne généralement d'une otite. La chirurgie consiste à vider la poche et de coudre une compresse sur la totalité du pavillon. Parfois, des récidives peuvent apparaître.

     

    Othématome
    Suture d'une compresse après vidange de l'othématome

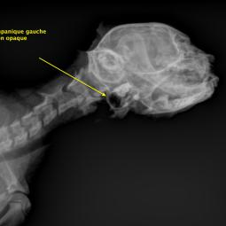
    La trépanation de la bulle tympanique: 

     

    Cette technique chirurgicale consiste à perforer la paroi de la bulle tympanique et nettoyer son contenu. La chirurgie est nécessaire lors d'otite moyenne (accumulation de liquide dans la bulle tympanique) qui ne régresse pas avec un traitement médical.

    Le diagnostic peut se faire par radiographie (cf images joints) mais l'examen de choix reste le scanner ou l'IRM si on souhaite une exploration fine de l'oreille interne.

    A noter que les images présentes ici sont celles d'un chaton qui présente une otite moyenne droite modérée qui a été soignée à l'aide d'un traitement anti-inflammatoire et antibiotique.

     

    Radio rostrale pour l'exploration des deux bulles tympaniques
    Radio de profile pour l'exploration de la bule tympanique droite
    Radio de profile pour l'exploration de la bule tympanique gauche
    Trépanation de la bulle per-opératoire

    La trépanation de la bulle tympanique: cas particulier des polypes naso-pharyngiens

     

     

    Ces polypes se forment, chez les chats,  au niveau du rhino-pharynx, se prolongent dans la trompe d'Eustache (trompe auditive) et se retrouvent dans la bulle tympanique. Leur ablation est minutieuse et n'est pas sans risque...

    Leur cause est souvent d'origine inflammatoire suite à un coryza chronique pas exemple.

     

    Polype naso-pharyngien visualisé au scanner
    Même polype mais étendu à l'oreille moyenne droite
    Polypes aprsè exerèse

    Vet'Ouest

    Copyright VetOuest - Tous droits réservés - Mentions Légales - Contact

    Crédits photos : L.SAFFROY

    LAXOU 54520 - 6, rue Sidney Bechet